|
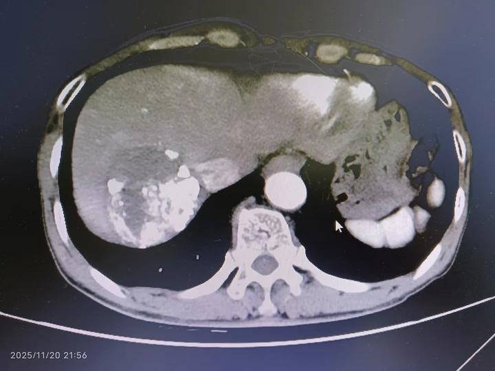
近日,我院肿瘤科介入团队成功为两名原发性肝癌患者实施了肝动脉化疗栓塞术(TACE)。手术过程顺利,患者术后状态稳定,恢复良好。此项技术的成功独立开展,标志着我院肿瘤科在肝癌微创介入诊疗技术方面取得了新的进展。 肝动脉化疗栓塞术(TACE)是肝癌非手术治疗领域的重要方法之一。其技术原理在于,通过介入手段将导管选择性插入肝脏肿瘤的供血动脉,注入化疗药物及栓塞剂,旨在实现对肿瘤组织的局部靶向治疗。 本次手术由我院肿瘤科杨勇华主任带领、吴冬英主治医师等组成的介入团队完成。团队在术前进行了全面的病例讨论与评估,制定了周密的治疗方案;术中操作精准;术后予以了密切观察和精心护理。此次手术的顺利完成,体现了肿瘤科团队在疑难病例诊疗和微创介入技术应用方面的综合实力。 肝癌是我国常见的恶性肿瘤,部分患者就诊时已不适合外科手术。此时,介入治疗成为了重要的治疗选择之一。 什么是介入治疗(TACE)? 人体的器官依赖血液供应营养,肝癌细胞也不例外。介入治疗(TACE)的核心思路是:通过向肿瘤供血动脉直接输送化疗药物(“杀”),并堵塞该血管(“饿”),以期控制肿瘤的生长。 如何实现“精准打击”? 医生在DSA(数字减影血管造影)设备的引导下,能够清晰地观察血管分布。通过特制的导管,可以精准地抵达为肿瘤供血的特定动脉,从而最大限度地避免对正常肝组织的影响。 治疗后的管理 肝癌的治疗往往是一个动态过程。在一次介入治疗后,患者需要遵医嘱定期复查,以便医生及时评估疗效并根据病情变化调整治疗方案。若复查发现肿瘤有新的血供或肝脏其他部位出现新发病灶,医生可能会建议再次进行介入等治疗,以实现更好的病情控制。 (肝癌介入栓塞术后复查提示肿瘤仍有活性) 综合治疗策略 需要强调的是,TACE是肝癌综合治疗的重要手段之一,但并非唯一方案。临床中,医生会根据患者的具体情况,将介入治疗与消融、放射治疗(如粒子植入)、靶向治疗、免疫治疗等多种手段有机结合,为患者制定个体化的综合治疗方案。 我院肿瘤科将持续深耕微创介入技术,积极引进和开展新技术,秉承“以患者为中心”的理念,致力于为更多患者提供先进的、个体化的诊疗服务。 健康咨询电话:0775-3372360 门诊地址:桂平市中医医院2号楼4楼 住院部地址:桂平市中医医院1号楼5楼 |










桂公网安备45088102000229