|
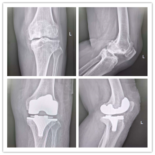
在公园里散步、与孙儿嬉戏、自由上下楼梯……这些看似平凡的日常,对许多深受膝关节疾病困扰的人来说却是一种奢望。当保守治疗无法缓解疼痛,当膝关节变形日益严重,人工膝关节置换手术便成为重启高质量生活的钥匙。 什么是膝关节置换? 膝关节置换手术,是一种将膝关节内受损的软骨及部分软骨下骨切除,并替换为人工设计的假体组件,是一种通过人工关节(采用金属、高分子聚乙烯、陶瓷等材料)置换受损膝关节,以恢复关节功能、减轻疼痛及改善患者的生活质量的治疗方法。 人工膝关节主要包括股骨髁、胫骨垫片、胫骨平台三部分。股骨髁和胫骨平台被固定在股骨和胫骨上,代替被除去的骨损伤部分,通常采用钴铬钼合金、钛合金等,具有极高的耐磨性、良好的生物相容性及机械强度。胫骨垫片附着于胫骨平台上,运动时股骨髁与垫片不断滚动摩擦,垫片承担半月板减少冲击和摩擦的作用。胫骨垫片材质为高分子聚乙烯,具有摩擦系数小、耐磨、抗压、抗氧化等特点。人工膝关节假体的使用寿命通常可以达到15-25年。 什么时候考虑膝关节置换手术? 膝关节是人体最大且最复杂的关节。膝关节的主要结构包括股骨下端、胫骨上端及髌骨关节面。当膝关节出现如晚期膝骨关节炎、类风湿关节炎等问题,引起关节软骨磨损、关节畸形,出现持续的关节疼痛、活动障碍等症状,通过药物、理疗等手段医治无效时,就可以考虑进行人工膝关节置换手术。 术后多久能恢复? 如无特殊情况,膝关节置换术后1-3天即可下床缓慢行走,术后应注意休息、避免剧烈运动,并在医生的指导下进行康复训练,包括膝关节屈伸活动度锻炼、下肢肌力锻炼、踝泵动作等。术后以及康复训练中出现疼痛属于正常现象,3-6月内可逐步恢复。 总而言之,新的膝关节替换原有严重损伤关节后,能够有效解决疼痛和行动不便等困扰。患者日常行动更便捷,提高了生活质量和体验,生活有了更多可能性。但仍需要遵医嘱,在进行康复训练时,务必确保动作轻柔、缓慢,避免过度用力或过度弯曲膝关节,以免引起不适或损伤。如果在训练过程中出现任何不适,应立即停止并咨询医生。 案 例 张女士,60岁,双膝关节疼痛3年余,经过药物治疗和玻璃酸钠关节腔注射后,疼痛症状仍反复,近1月左膝关节症状加重伴活动受限,右膝行走时也时有疼痛。为求系统治疗,前往桂平市中医医院门诊就诊,门诊以“双侧重膝关节骨性关节病”收入院。住院后钟军主治医师询问病史,结合影像学资料并详细查体:左膝关节肿胀、轻度內翻畸形,膝关节内外侧间隙压痛,过曲过伸疼痛,浮髌试验阴性,膝关节活动度0°-90°。 张女士入院后完善了相关检查,以排除手术禁忌症。随后,在骨一科蒋积满团队及手术麻醉室的密切配合下,为其顺利进行了左膝关节表面置换手术。术中,医护人员协同无间,操作精准熟练,在腰硬联合麻醉的辅助下,圆满完成了左膝关节表面置换术。手术过程顺利,手术出血少,术后安全返回病房。 经过手术及术后康复治疗,张女士已能独立行走,彻底摆脱了左膝关节疼痛和活动受限的困扰,生活质量得到显著提高。张女士表示:“没想到手术效果这么好,现在随便走,一点都不痛”!全膝关节置换术,这不仅是骨科技术实力和服务能力取得突破的重要体现,还为辖区患者解除了痛苦,让患者在家门口就能享受到优质的医疗服务,它让无数像张女生这样的患者解除了疾病带来的痛苦,重新拥抱生活的美好。桂平市中医医院骨科将继续致力于医疗技术的创新和发展,为更多患者提供精准、高质量的医疗服务! 健康咨询电话 0775—3395567 门诊地址 桂平市中医医院 急诊楼一楼 骨科门诊 住院部地址 桂平市中医医院 1号楼17楼骨一科 声明:本文仅作医疗知识科普,不作为诊疗方案推荐。具体治疗需经专业医生评估。 |










桂公网安备45088102000229